RESTORE
Nanoenabled Immunomodulatory Scaffolds for Cartilage Tissue Engineering
22Mar

Nanoenabled Immunomodulatory Scaffolds for Cartilage Tissue Engineering

Figure 1: Researchers Daniela Pereira de Vasconcelos and Catarina Leite Pereira have developed 3D matrices ...

The New Multifluidics Tool Print Head for Multi-material Printing
17Aug

The New Multifluidics Tool Print Head for Multi-material Printing

During the RESTORE project, Brinter developed and tested their own technology of the microfluidic system ...

EU funded project FORCE REPAIR: Innovating Chronic Wound Treatment
18Jul

EU funded project FORCE REPAIR: Innovating Chronic Wound Treatment

International research team sets out to develop a smart, multifunctional, and cost-effective 3D-printed wound dressing ...

RESTORE Chondral Lesions Database – Final version Online
11Jul

RESTORE Chondral Lesions Database – Final version Online

The final version of the RESTORE database, developed by the RU team, is now available ...

Brinter’s first patent pending multi-material, multi-fluidic bioprinting technology enabled print head
07Sep

Brinter’s first patent pending multi-material, multi-fluidic bioprinting technology enabled print…

Designed for use with the company’s own 3D bioprinters, the digital multifluidic printing tool head ...

RESTORE Intermediate Meeting in Oulu was a great success!
14Jul

RESTORE Intermediate Meeting in Oulu was a great success!

The Restore consortium met at the end of May in beautiful Oulu in Finland. This ...

Interesting Review article just published  on knee osteoarthritis!
01Jun

Interesting Review article just published on knee osteoarthritis!

A recent review article focusing on the current advances in Intra-Articular Drug Delivery for knee ...

Prof. Saarakkala selected Associate Editor of the Journal Osteoarthritis and Cartilage Open
16May

Prof. Saarakkala selected Associate Editor of the Journal Osteoarthritis and…

RESTORE project partner Prof. Simo Saarakkala, from University of Oulu, Finland, has been nominated as ...

H2020 RESTORE partners reactivate ETPN’s Working Group of Regenerative Medicine
03May

H2020 RESTORE partners reactivate ETPN’s Working Group of Regenerative Medicine

Meriem Lamghari, RESTORE project coordinator, has reactivated the working group on Regenerative Medicine after being ...

Brinter officially replaced 3DTech in the RESTORE project
29Apr

Brinter officially replaced 3DTech in the RESTORE project

The replacement of RESTORE project partner 3DTech with its spin-out Brinter Ltd has been officially ...

Piezoelectric stimulation for cartilage repair
26Apr

Piezoelectric stimulation for cartilage repair

by Birgitte McDonagh Cartilage is sensitive to electrical stimuli. Nanoampere currents can stimulate growth of ...

Beta Version chondral lesion database (clDB) online (https://restore-project.ru.is/database)
15Mar

Beta Version chondral lesion database (clDB) online (https://restore-project.ru.is/database)

Database shows a set of novel measurements and 3D features used to reconstruct bone and cartilages and to assess cartilage condition from a new perspective

The European Commission’s European Innovation Council has selected Askel as an innovative start-up to receive EUR 2.5 million of funding
01Mar

The European Commission’s European Innovation Council has selected Askel as…

Askel’s team is excited to receive this prestigious grant. “This EUR 2.5 million funding enables us to carry out the first-in-man clinical trial of our innovative cartilage repair device."

2nd Edition of International Conference on Tissue Engineering and Regenerative Medicine
09Feb

2nd Edition of International Conference on Tissue Engineering and Regenerative…

The 2nd Edition of International Conference on Tissue Engineering and Regenerative Medicine will take place ...

New Review: The Crossroad Between Degenerated Articular Cartilage and Tissue Engineering
01Feb

New Review: The Crossroad Between Degenerated Articular Cartilage and Tissue…

A review was published on the advances in the regeneration of degenerated articular cartilage, and its utmost importance.

Do the menisci contribute to whole knee joint friction?
25Jan

Do the menisci contribute to whole knee joint friction?

An in-vitro tribological study was performed while the influence of three different medial meniscus states on the whole knee joint friction was determined.

Brinter and LED Tailor partner to implement an automatic photon disinfection system in the 3D bioprinter chamber
28Dec

Brinter and LED Tailor partner to implement an automatic photon…

LED Tailor’s blue-light based Spectral Blue® disinfection system kills all unwanted forms of viruses and bacteria inside the Brinter bioprinter, reducing the need for cleanrooms.

Production of PLA and PLGA from a green chemistry perspective
23Dec

Production of PLA and PLGA from a green chemistry perspective

Biopolymers as polylactic acid (PLA) are considered promising materials for medical applications, due to its good biocompatibility and biodegradability.

About Scaffolds for Cartilage Regeneration
21Dec

About Scaffolds for Cartilage Regeneration

In the interdisciplinary RESTORE project, a step is being taken towards an effective approach for cartilage repair using scaffolds.

Activating piezoelectric nanoparticles with ultrasound
16Dec

Activating piezoelectric nanoparticles with ultrasound

Researchers from the University of Oulu are currently constructing two platforms for upcoming experiments concerning the use of piezoelectric materials, like Barium Titanate (BaTiO3), that has shown great potential in the field of regenerative medicine

Brinter slashes cost of high-quality 3D bioprinting with launch of multipurpose “Brinter Core”
14Dec

Brinter slashes cost of high-quality 3D bioprinting with launch of…

Brinter Core is a modular and portable bioprinter that is able to print multi-material and highly complex tissue structures in 3D, providing all the basic features needed for bioprinting.

Are carbon nanotubes (CNTs) based nanocomposites the future of biomedical applications?
09Dec

Are carbon nanotubes (CNTs) based nanocomposites the future of biomedical…

CNTs encourage expansion of several cells like myoblast, neurons and osteoblasts and have attracted the attention of scientific community

Askel Healthcare has been granted FDA Breakthrough Device Designation for COPLA®
07Dec

Askel Healthcare has been granted FDA Breakthrough Device Designation for…

Askel Healthcare Ltd is pleased to announce that the COPLA® cartilage repair device has been ...

3D bioprinting nano-enabled bioink to generate cartilage for articular cartilage repair
02Dec

3D bioprinting nano-enabled bioink to generate cartilage for articular cartilage…

RESTORE strives towards delaying the onset of osteoartrithis (OA) and design an effective approach to ...

ETPN presented its new executive board during the NME21 virtual event
01Oct

ETPN presented its new executive board during the NME21 virtual…

During the Nanomed Europe 21 virtual event which took place on september 2021, ETPN presented ...

Cartilage density analysis.
17Sep

Cartilage density analysis.

In the frame of the EU project Restore, Reykjavik University is developing the 1st European database ...

RESTORE is happy after our participation in the 31st Annual Conference of the ESB’21 – European Society for Biomaterials
14Sep

RESTORE is happy after our participation in the 31st Annual…

Welcome Message by the ESB 2021 Chairs Dear friends and colleagues, ConferenceOn behalf of the ...

A Recently Developed Functionalized Hyaluronic Acid (HA) Hydrogel for the Induction of Chondrogenesis
13Aug

A Recently Developed Functionalized Hyaluronic Acid (HA) Hydrogel for the…

In addition to being a major constituent of the extracellular matrix (ECM), hyaluronic acid (HA) ...

RESTORE’s researcher Bruno Sarmento was elected as Director-at-Large of the Controlled Release Society
11Aug

RESTORE’s researcher Bruno Sarmento was elected as Director-at-Large of the…

Bruno Sarmento, RESTORE’s researcher and leader of the Research Group “Nanomedicines & Translational Drug Delivery” ...

Methodological needs – and gaps – in characterization of nanotechnology-based health products
09Aug

Methodological needs – and gaps – in characterization of nanotechnology-based…

The partners of RESTORE are active also in other international projects on nanomedicines and nanoenabled ...

Brinter raises €1.2M in seed funding to accelerate 3D printing bioscience research and manufacturing for uses that range from personalized drugs to human spare parts
06Aug

Brinter raises €1.2M in seed funding to accelerate 3D printing…

Brinter announces the successful closure of a €1.2M seed funding round led by early-stage VC Innovestor. ...

Recent scientific article published by the RESTORE partner CIDETEC
04Aug

Recent scientific article published by the RESTORE partner CIDETEC

A minor modification of natural Dextran polysaccharide is sufficient to confer interfacial activity and stabilize ...

Webinar Series 2021
30Jul

Webinar Series 2021

Recommended by Restore As working within cartilage repair, we at Restore can highly recommend the ...

3D bioprinting nano-enabled bioink to generate cartilage for articular cartilage repair
23Jul

3D bioprinting nano-enabled bioink to generate cartilage for articular cartilage…

RESTORE strives towards delaying the onset of osteoartrithis (OA) and design an effective approach to ...

In vivo assessment of articular cartilage repair with nanoenabled scaffolds
14Jul

In vivo assessment of articular cartilage repair with nanoenabled scaffolds

RESTORE aims to develop a smart nanobiomaterial-based solution capable to modulate the articular cartilage microenvironment ...

Analysis of the data collected in the database
01Jul

Analysis of the data collected in the database

In the frame of the EU project Restore, Reykjavik University is developing the 1st European database ...

Biomechanical mappings provide new insights into cartilage degeneration
22Jun

Biomechanical mappings provide new insights into cartilage degeneration

Biomechanical mappings provide new insights into cartilage degeneration Spatial biomechanical mappings of whole joint surfaces ...

New Review: The Regulation of Cartilage Extracellular Matrix Homeostasis in Joint Cartilage Degeneration and Regeneration
14Jun

New Review: The Regulation of Cartilage Extracellular Matrix Homeostasis in…

In recent years, the role of extracellular matrix (ECM) in regulating cellular behaviour, as well ...

New Research Study: Exosome-Mediated Delivery of Kartogenin for Chondrogenesis of Synovial Fluid-Derived Mesenchymal Stem Cells and Cartilage Regeneration
07Jun

New Research Study: Exosome-Mediated Delivery of Kartogenin for Chondrogenesis of…

The advances in regenerative medicine and cell-based therapies for cartilage regeneration have made these approaches ...

RESTORE partners published a new article in the journal “Colloids and Surfaces B: Biointerfaces”
04Jun

RESTORE partners published a new article in the journal “Colloids…

Partners from the RESTORE project have recently published an article titled “Design and development of ...

Nanocellulose as scaffold for bone tissue engineering
16Feb

Nanocellulose as scaffold for bone tissue engineering

In recent years, intense research has focused on application of natural polymers in a variety ...

Bruno Sarmento in a strategic committee for RESTORE’s dissemination roadmap
01Feb

Bruno Sarmento in a strategic committee for RESTORE’s dissemination roadmap

Bruno Sarmento, work package leader in RESTORE project, has recently integrated the Programming Committee of ...

An Upcoming Presentation about RESTORE Project in 3D Bioprinting Conference
23Dec

An Upcoming Presentation about RESTORE Project in 3D Bioprinting Conference

Sanna Turunen from 3DTech Ltd. / Brinter. Ltd will give a presentation in the online ...

Beta version RESTORE cartilage database soon online
10Dec

Beta version RESTORE cartilage database soon online

The Reykjavik group have been working in the frame of the RESTORE project in gathering ...

Askel Healthcare is seeking for new talents to join the team
04Dec

Askel Healthcare is seeking for new talents to join the…

The project partner Askel Healthcare, a Finnish start-up, is seeking of multiple new talents to ...

RESTORE consortium meet online
16Nov

RESTORE consortium meet online

Reacting to the Covid-19 crisis, RESTORE consortium has taken, back in March 2020, mitigation measures ...

Carbon Nanotube Safety and Efficacy for Musculoskeletal Tissue Engineering Applications
29Sep

Carbon Nanotube Safety and Efficacy for Musculoskeletal Tissue Engineering Applications

Two recent review articles touched upon interesting and current musculoskeletal tissue engineering applications utilizing carbon ...

Local patterning of biophysical and biochemical properties – a smart tool for the design of biomaterials in regenerative medicine
25Sep

Local patterning of biophysical and biochemical properties – a smart…

Biomaterials with patterned biophysical and biochemical properties are of great interest in the field of ...

RESTORE’s network gives rise to new project funded in 6 million euros
14Sep

RESTORE’s network gives rise to new project funded in 6…

RESTORE’s networking prompted the birth of a new project recently funded by the European Commission. ...

New article titled “GDF5 induces TBX3 in a concentration dependent manner – on a gold nanoparticle gradient” was published recently in RESTORE European project framework
08Sep

New article titled “GDF5 induces TBX3 in a concentration dependent…

Recent article with the title “GDF5 induces TBX3 in a concentration dependent manner – on ...

Antimicrobial Peptides to Preserve Articular Cartilage Healing in a Septic Environment
30Jul

Antimicrobial Peptides to Preserve Articular Cartilage Healing in a Septic…

New scientific article has been recently published by Lia Rimondini and coworkers from University of ...

Brinter Picked Among 8 Top 3D Bioprinting Startups Globally
13Jul

Brinter Picked Among 8 Top 3D Bioprinting Startups Globally

In May 2020, Brinter Ltd., a spin-off from 3DTech Ltd., was selected as one of ...

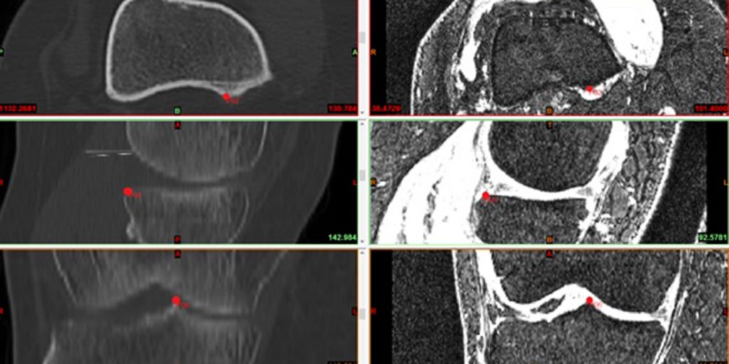
Automated Indentation Mapping – appropriate tool to investigate whole joint surfaces
30Jun

Automated Indentation Mapping – appropriate tool to investigate whole joint…

The nanoenabled COPLA® Scaffold should provide cartilage regeneration capacity. To demonstrate and validate its efficacy, ...

RESTORE’s Consortium has faced with COVID outbreak
24Jun

RESTORE’s Consortium has faced with COVID outbreak

Research activities were greatly affected during the last 3 months because of COVID outbreak and ...

RESTORE project @ Nordic Baltic Conference 2020 in Reykjavik
17Jun

RESTORE project @ Nordic Baltic Conference 2020 in Reykjavik

The 18th Nordic Baltic Conference on Biomedical Engineering and Medical Physics 2020 will take place ...

Stability – The Enemy of Joint Health
10Jun

Stability – The Enemy of Joint Health

The global Covid-19 outspread has changed the lives of many. The pandemic has forced us ...

RESTORE intermediate meetings still endure
11May

RESTORE intermediate meetings still endure

Despite the lockdown, we in RESTORE are still doing our best to continue with our ...

RESTORE message amidst global pandemic
08May

RESTORE message amidst global pandemic

We, from RESTORE, want to extend our deepest sympathies to all affected by this pandemic, ...

Electric Field Stimulation for Tissue Engineering and Regenerative Medicine Approaches
07May

Electric Field Stimulation for Tissue Engineering and Regenerative Medicine Approaches

A recent extensive review article by Da Silva and coworkers entitled “Electric Phenomenon: A Disregarded ...

3D bioprinting in situ into an Osteoarthritic cartilage lesion
06May

3D bioprinting in situ into an Osteoarthritic cartilage lesion

Recent article with the title “Collagen 2A Type B Induction after 3D Bioprinting Chondrocytes In ...

mRNA as a novel therapeutic class for tissue repair and regenerative medicine
26Feb

mRNA as a novel therapeutic class for tissue repair and…

A novel class of therapeutic compounds is currently on a path that could revolutionize large ...

Printability tests of the nanocellulose/alginate bioink with Brinter® in progress
21Feb

Printability tests of the nanocellulose/alginate bioink with Brinter® in progress

3DTech’s task in the RESTORE project is to develop its Brinter® 3D bioprinting platform towards ...

CIDETEC in the European MedTech sector
27Jan

CIDETEC in the European MedTech sector

The European MedTech sector has around 27.000 Med-Tech companies, 95% of which are SMEs. These ...

Askel’s crowdfunding campaign is open!
23Jan

Askel’s crowdfunding campaign is open!

Askel’s deep tech solution, COPLA®, focuses on early intervention and prevention of joint surface degradation. ...

Development the first patient specific open access web database of damaged chondral cartilage
09Jan

Development the first patient specific open access web database of…

In the frame of the EU project RESTORE, Reykjavik University is developing 1ST European database ...

Contradictory evidences of sport activity on knee cartilage health and disease
02Jan

Contradictory evidences of sport activity on knee cartilage health and…

Contradictory evidences of sport activity on knee cartilage health and disease Soccer players and athletes ...

RESTORE’s 1st intermediate meeting in San Sebastian
19Dec

RESTORE’s 1st intermediate meeting in San Sebastian

RESTORE’s 1st intermediate meeting was held the 14th and 15th of October 2019 in San ...

The REFINE White Paper: Regulatory needs for nanotechnology-enabled health products
09Dec

The REFINE White Paper: Regulatory needs for nanotechnology-enabled health products

The Horizon 2020 project REFINE – Regulatory Science Framework for Nano(bio)material-based Medical Products and Devices ...

RESTORE at the ICRS world 2019 meeting
23Oct

RESTORE at the ICRS world 2019 meeting

RESTORE member Stina Simonsson gave a talk at the ICRS (International Cartilage Regeneration & Joint ...

Unique scalable Brinter™ bioprinting platform is being developed towards cartilage bioprinting
03Oct

Unique scalable Brinter™ bioprinting platform is being developed towards cartilage…

3DTech Oy, a Finnish SME partner in RESTORE, has developed and brought to the global ...

COPLA® Scaffold – Already a solution for veterinary patients, moving towards human use
16Sep

COPLA® Scaffold – Already a solution for veterinary patients, moving…

Askel Healthcare Ltd, an SME partner in RESTORE project, has a cartilage repair device, called ...

Just published! New scientific review on current cartilage repair techniques
12Sep

Just published! New scientific review on current cartilage repair techniques

Recent review article on current cartilage repair techniques has been published by Prof. Kyriacos A. ...

New database of patient anatomical models from different chondral lesions under construction
28Aug

New database of patient anatomical models from different chondral lesions…

A database (clDB) of patient-specific anatomical models from different chondral lesions is under construction at ...

PREMUROSA project joins RESTORE in the research for Cartilage Regeneration
27Aug

PREMUROSA project joins RESTORE in the research for Cartilage Regeneration

RESTORE will collaborate with PREMUROSA, a new Marie Sklodowska Curie Action Innovative training network focused ...

Successful mechanical characterization of the COPLA® Scaffold  for cartilage replacement
23Aug

Successful mechanical characterization of the COPLA® Scaffold for cartilage replacement

The BIOMOMENTUM testing machine has been successfully employed by ULM University to perform a mechanical ...

RESTORE at TERMIS-EU 2019 Meeting
31Jul

RESTORE at TERMIS-EU 2019 Meeting

RESTORE member Stina Simonsson gave a talk at the TERMIS-EU 2019 meeting in Rhodes in ...

RESTORE partners participated in NanoMedEurope 2019 in Braga
01Jul

RESTORE partners participated in NanoMedEurope 2019 in Braga

Several RESTORE partners attended NanoMedEurope 2019 in Braga, Portugal (http://www.nme19.eu/). Bruno Sarmento from INEB introduced ...

RESTORE project in the news!
01Jul

RESTORE project in the news!

The consortium partners Adj. Prof. Gabriela Lorite and Prof. Simo Saarakkala were interviewed regarding the ...

RESTORE project presented at Scandinavian Society for Biomaterials 2019 conference
01Jul

RESTORE project presented at Scandinavian Society for Biomaterials 2019 conference

Adj. Prof. Gabriela Lorite, Dr Lauriane Janssen and M.Sc. Hanna Kemppi from the University of ...

RESTORE KICK-OFF MEETING
12Jun

RESTORE KICK-OFF MEETING

The kick-off meeting of RESTORE project took place on the 11th and 12th of February 2019 in ...

RESTORE is officially launched
12Jun

RESTORE is officially launched

RESTORE was officially launched on January 1st 2019, having received 5.5 million euros of funding from ...